Smile Gallery
Stunning Before and After Dentistry Results
If you can imagine your perfect smile, our dentists will make it a reality. Modern, tooth-coloured restorations improve the strength, integrity and appearance of the smiles we care for.
Take a moment to see the possibilities with our before-and-after photos and get in touch if you are ready to discuss your options.
We repaired this patient's damaged tooth using an attractive porcelain crown.
Strategically placed porcelain veneers helped transform this patient's smile from so-so to stunning!
Yellowed teeth look younger and healthier after a professional in-office whitening treatment!
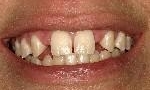
This patient's old porcelain-fused-to-metal crowns didn't blend well and left a dark line at the edge of the gum, making her dentistry obvious and unattractive. Replacing the crowns with beautiful custom-made porcelain crowns allows her smile to look natural and healthy once again. Related

Wide gaps have a tendency to trap food and can increase your risk of decay and bad breath. Using Invisalign Clear Aligners, we were able to adjust the position of this patient's teeth for a total transformation!

A lifelong coffee habit had stained this patient's teeth, and she no longer felt confident when smiling. Thanks to take-home teeth whitening, her teeth now look whiter and brighter and she can smile freely!
After this patient quit smoking, she wanted a dramatic transformation in the appearance of her teeth. A thorough dental cleaning combined with take-home teeth whitening gave her the fresh start she was looking for!

After chipping her tooth during a friendly soccer game, this patient was unhappy with the look of her smile. She was also on a budget, and a veneer didn't seem like the right solution. Using dental bonding, we were able to repair her tooth and restore its function – in just a single appointment!